Tuesday, 30 September 2025 00:00

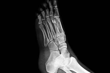
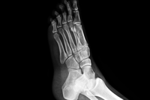
Causes and Risks of Foot Stress Fractures

Stress fractures in the feet are hairline cracks in the bone that often develop from repetitive force, rather than a single traumatic event. Stress fractures generally occur in the long bones of the foot, which endure significant impact during walking, running, and jumping. Overtraining, sudden increases in activity, or inadequate rest between workouts raise the risk. Foot structure also plays a role, with flat feet, high arches, or rigid arches contributing to uneven distribution of pressure that can stress certain bones. People with osteoporosis or low bone density are at higher risk, and nutritional deficiencies, such as inadequate calcium or vitamin D, may weaken bone strength. A podiatrist can confirm a diagnosis through examination and imaging, recommend appropriate footwear or orthotics, and advise whether surgery is required in severe cases. If you have symptoms of stress fractures in your feet, it is suggested that you make an appointment with a podiatrist for an exam, diagnosis, and treatment.

Stress fractures occur when there is a tiny crack within a bone. To learn more, contact Charles Oehrlein, DPM from Hoover Foot Care. Our practitioner can provide the care you need to keep you pain free and on your feet.

How Are They Caused?

Stress fractures are the result of repetitive force being placed on the bone. Since the lower leg and feet often carry most of the body’s weight, stress fractures are likely to occur in these areas. If you rush into a new exercise, you are more likely to develop a stress fracture since you are starting too much, too soon.  Pain resulting from stress fractures may go unnoticed at first, however it may start to worsen over time.

Risk Factors

  • Gender – They are more commonly found in women compared to men.
  • Foot Problems – People with unusual arches in their feet are more likely to develop stress fractures.
  • Certain Sports – Dancers, gymnasts, tennis players, runners, and basketball players are more likely to develop stress fractures.
  • Lack of Nutrients – A lack of vitamin D and calcium may weaken the bones and make you more prone to stress fractures
  • Weak Bones – Osteoporosis can weaken the bones therefore resulting in stress fractures

Stress fractures do not always heal properly, so it is important that you seek help from a podiatrist if you suspect you may have one. Ignoring your stress fracture may cause it to worsen, and you may develop chronic pain as well as additional fractures.

If you have any questions please contact our office located in Hoover, Oneonta, and Munford, AL . We offer the newest diagnostic and treatment technologies for all your foot and ankle needs.

Read more about Stress Fractures of the Foot and Ankle
Tuesday, 30 September 2025 00:00

Stress Fractures of the Foot and Ankle

Our bones are important aspects of our body and they are constantly changing. The heavier the workload for a bone, the more likely it is that calcium will be placed in it. When a bone isn’t used often, there won’t be much calcium within it. When stress from repetitive loads prevent the bone from being able to repair itself, cracks will start to form. Stress fractures are defined as cracks in a bone that result from repetitive force, such as overuse.

The most common cause of stress fractures is a sudden increase in intensity and duration of physical activity. For example, if you begin to run long distances without working your way into doing so, you will be more likely to develop a stress fracture.

Common symptoms of stress fractures are pain and swelling near the weight bearing area on the injured bone. When initial x-rays are performed, it is possible that the fracture will not show up. However, once the stress on the area continues, the damage will increase, and the fracture will be severe enough to show up on an x-ray. Certain parts of the foot are more likely to develop stress fractures than others. Areas that typically have these fractures are: the metatarsals, the navicular bone, the calcaneus, tibia, and fibula.

Since women are at an increased risk of developing osteoporosis, they are twice as likely as men to sustain a stress fracture. Additionally, old age causes a decrease in bone mineral density which is why elderly people are also likely to develop these fractures.

It is important for you to be professionally diagnosed by a podiatrist if you suspect you have a stress fracture, because there are other injuries that can easily be mistaken for a fracture.  Sprains, strains, shin splints, plantar fasciitis, and Morton’s neuroma can all easily be mistaken for stress fractures in the foot. Your podiatrist will likely ask you a series of questions to determine what type of pain you are experiencing. These questions will help your doctor identify whether you have a stress fracture.

The best method of treatment for a stress fracture is rest. Additionally, a walking boot, cast, or crutches, will help rest the area that is injured. The typical healing time for stress fractures is 4-12 weeks, however this depends on which bone is involved.

Friday, 26 September 2025 00:00

Treat Your Feet to a Medical Pedicure

A medical pedicure is a specialized foot care treatment that combines traditional pedicure techniques with medical expertise to address various foot conditions. These treatments can help improve foot health, reduce pain, prevent infections, and promote relaxation.

Tuesday, 23 September 2025 00:00

Exercises That Can Help With Drop Foot

Drop foot makes it difficult to lift the front part of the foot, which can cause tripping or an unusual walking pattern. Exercises for drop foot that focus on strengthening the muscles along the front of the lower leg can help improve movement and control. Simple stretches of the ankle, done while sitting or standing, can loosen stiffness and make the foot move more freely. Toe raises, where you lift the front of your foot while keeping your heel on the ground, are often helpful. Using a band to pull your foot upward against resistance can also build strength. Walking on your heels is another way to train the foot to lift properly during each step. These movements support better balance and reduce the chance of stumbling when you take a step. A podiatrist can check the muscle strength in your leg and foot, look for problems with alignment, and recommend safe exercises. If you have symptoms of drop foot, it is suggested that you make an appointment with a podiatrist for an exam, diagnosis, and treatment, which may include a series of exercises.

Exercising your feet regularly with the proper foot wear is a great way to prevent injuries and build strength. If you have any concerns about your feet, contact Charles Oehrlein, DPM from Hoover Foot Care. Our practitioner can provide the care you need to keep you pain-free and on your feet.

Exercise for Your Feet

Exercise for your feet can help you gain strength, mobility and flexibility in your feet. They say that strengthening your feet can be just as rewarding as strengthening another part of the body. Your feet are very important, and we often forget about them in our daily tasks. But it is because of our feet that are we able to get going and do what we need to. For those of us fortunate enough to not have any foot problems, it is an important gesture to take care of them to ensure good health in the long run.

Some foot health exercises can include ankle pumps, tip-toeing, toe rises, lifting off the floor doing reps and sets, and flexing the toes. It is best to speak with Our practitioner to determine an appropriate regimen for your needs. Everyone’s needs and bodies are different, and the activities required to maintain strength in the feet vary from individual to individual. 

Once you get into a routine of doing regular exercise, you may notice a difference in your feet and how strong they may become.

If you have any questions, please feel free to contact our office located in Hoover, Oneonta, and Munford, AL . We offer the newest diagnostic and treatment technologies for all your foot care needs.

Read more about Exercise for Your Feet
Tuesday, 23 September 2025 00:00

Exercise for Your Feet

Whether your feet are over-worked or under-worked, chances are they could benefit from some special attention. Even those who exercise regularly probably do not spend any time strengthening their feet. This can be just as rewarding as strengthening the rest of the body, since the health of your feet affects the health of the rest of the body as well, especially the ankles, legs, and spine.

For those who might not have any idea on how a foot-specific exercise might be conducted, there are several workouts that are fairly easy to perform in the comfort of ones’ home. One of the easiest is the toe rise, also known as the tip-toe. This exercise involves standing on the tip-toes for a count of 15 then resting the feet on the ground. This process should be repeated a minimum of three times a day in order to strengthen the feet.

Toe pick-ups strengthen the feet by working them in a very different way. In this exercise, small items are picked up using the toes in order to strengthen the muscles on the upper part of the feet. Once again three sets should be performed, with the item in question being held for 15 seconds then dropped. Items that may be picked up using the feet include marbles and even stationery, which works wonders for the toes and the surrounding muscles.

Yet another simple workout is the ankle pump. This can be done either upwards or downwards, but for the workout to be most effective both can be incorporated into the routine. As the term suggests, this involves lifting the foot off the floor and flexing the toes either towards the shin or towards the ground. This movement puts the feet and ankles through a large range of motion which works the muscles.

Last but not least, feet should be stretched so that the muscles can relax and recuperate. This can be done by placing both feet off of the floor and bracing oneself against the wall at a 45 degree angle. This ensures that the feet and ankles are adequately stretched once the workout is complete.

In short, giving the feet a good workout every now and then is important in order to avoid problems such as plantar fasciitis. It’s also important to warm-up or cool-down after running or vigorous walking. Foot exercises may be followed by a good foot massage. This encourages circulation in the feet as well as muscle relaxation.

Tuesday, 16 September 2025 00:00

Bunion Causes and Symptoms

Bunions are a foot deformity that often develop gradually, leading to pain and changes in toe alignment. The most noticeable symptom of a bunion is a hard, bony bump on the side of the big toe that may become red, swollen, and tender from pressure inside shoes. As the bunion progresses, the big toe shifts inward toward the second toe, sometimes crossing over or under it, which can cause stiffness and difficulty in moving the joint. Pain at the base of the toe is common, especially when walking or standing for long periods. Bunions may also lead to irritation of the bursa, a small fluid-filled sac, resulting in bursitis, or displacement of the sesamoid bones under the big toe joint. Causes of bunions include inherited foot structure, arthritis, and frequent use of shoes that lack adequate support or have a narrow, pointed toe box, such as high heels or flip-flops. If you are experiencing pain from a bunion, it is suggested that you schedule an appointment with a podiatrist for an evaluation and appropriate treatment.

If you are suffering from bunion pain, contact Charles Oehrlein, DPM of Hoover Foot Care. Our practitioner can provide the care you need to keep you pain-free and on your feet.

What Is a Bunion?

Bunions are painful bony bumps that usually develop on the inside of the foot at the joint of the big toe. As the deformity increases over time, it may become painful to walk and wear shoes. Women are more likely to exacerbate existing bunions since they often wear tight, narrow shoes that shift their toes together. Bunion pain can be relieved by wearing wider shoes with enough room for the toes.

Causes

  • Genetics – some people inherit feet that are more prone to bunion development
  • Inflammatory Conditions - rheumatoid arthritis and polio may cause bunion development

Symptoms

  • Redness and inflammation
  • Pain and tenderness
  • Callus or corns on the bump
  • Restricted motion in the big toe

In order to diagnose your bunion, your podiatrist may ask about your medical history, symptoms, and general health. Your doctor might also order an x-ray to take a closer look at your feet. Nonsurgical treatment options include orthotics, padding, icing, changes in footwear, and medication. If nonsurgical treatments don’t alleviate your bunion pain, surgery may be necessary.

If you have any questions, please feel free to contact our office located in Hoover, Oneonta, and Munford, AL . We offer the newest diagnostic and treatment technologies for all your foot care needs.

Read more about What Are Bunions?
Tuesday, 16 September 2025 00:00

What Are Bunions?

Bunions are large bony bumps at the base of the big toe. Medically known as hallux valgus, a bunion is a misalignment of the metatarsophalangeal joint, or big toe joint. The misalignment will generally worsen with time if left untreated.

The exact cause of bunions is unknown, with genetics seen as a potential cause. High heels and poorly-fitted footwear, rheumatoid arthritis, and heredity all seem to be potential factors behind the exacerbation of bunions. Women have been found to be more likely to develop bunions in comparison to men.

Bunions do not always produce symptoms. The best way to tell is if the big toe is pushing up against the next toe and there is a large protrusion at the base of the big toe. You may or may not feel pain. Redness, swelling, and restricted movement of the big toe may be present as well.

Podiatrists use a variety of methods to diagnose bunions. If there are symptoms present, podiatrists will first consider that it is a bunion. If not, a physical examination will be conducted to check function of the big toe. Finally, an X-ray may be taken to view the extent of the bunion and confirm it is a bunion.

Typically, nonsurgical methods are used to treat bunions, unless the bunion has become too misaligned. Orthotics, icing and resting the foot, roomier and better fitted shoes, taping the foot, and pain medication are usually utilized first. If the bunion doesn’t go away or causes extreme pain, surgery may be required. Surgeons will either remove part of the swollen tissue or bone to straighten the toe out.

If you have a bunion, it is recommended to see a podiatrist. The longer it is left untreated, the worse it may get. Podiatrists can properly diagnose and treat a bunion before it gets worse.

Tuesday, 09 September 2025 00:00

A Permanent Solution for Ingrown Toenails

An ingrown toenail can cause repeated discomfort, swelling, and even infection if it continues to grow improperly into the surrounding skin. While temporary relief may be found with soaks or trimming, these methods rarely provide lasting results. For individuals dealing with persistent pain, a more definitive treatment is available. A podiatrist can perform a minor procedure that removes the part of the nail responsible for the problem. In many cases, the nail root is treated so the edge will not grow back. This approach prevents the cycle of recurring irritation and allows the surrounding skin to heal completely. The procedure is usually quick, performed in the office, and recovery is often easier than expected. If you are struggling with repeated ingrown toenails, it is suggested that you visit a podiatrist to discuss a permanent solution.

Ingrown toenails can become painful if they are not treated properly. For more information about ingrown toenails, contact Charles Oehrlein, DPM of Hoover Foot Care. Our practitioner can provide the care you need to keep you pain-free and on your feet.

Ingrown Toenails

Ingrown toenails occur when a toenail grows sideways into the bed of the nail, causing pain, swelling, and possibly infection.

Causes

  • Bacterial infections
  • Improper nail cutting such as cutting it too short or not straight across
  • Trauma to the toe, such as stubbing, which causes the nail to grow back irregularly
  • Ill-fitting shoes that bunch the toes too close together
  • Genetic predisposition

Prevention

Because ingrown toenails are not something found outside of shoe-wearing cultures, going barefoot as often as possible will decrease the likeliness of developing ingrown toenails. Wearing proper fitting shoes and using proper cutting techniques will also help decrease your risk of developing ingrown toenails.

Treatment

Ingrown toenails are a very treatable foot condition. In minor cases, soaking the affected area in salt or antibacterial soaps will not only help with the ingrown nail itself, but also help prevent any infections from occurring. In more severe cases, surgery is an option. In either case, speaking to your podiatrist about this condition will help you get a better understanding of specific treatment options that are right for you.

If you have any questions, please feel free to contact our office located in Hoover, Oneonta, and Munford, AL . We offer the newest diagnostic and treatment technologies for all your foot care needs.

Read more about Ingrown Toenail Care
Tuesday, 09 September 2025 00:00

Ingrown Toenail Care

An ingrown toenail is a nail that has curved downward and grows into the skin.  This typically occurs at the nail borders, or the sides of the nail.  As a result, pain, redness, swelling, and warmth may occur in the toe.  If a break in the skin forms due to the ingrown nail, bacteria may enter and cause an infection in the area; this is typically characterized by a foul odor and drainage.

Ingrown toenails have multiple reasons for developing.  In many instances, the condition is a result of genetics and is inherited.  The most common cause, however, is improper trimming; cutting the toenails too short forces the skin beside the nail to fold over.  An ingrown toenail can also develop due to trauma, such as stubbing the toe, having an object fall on the toe, or participating in activities that involve repeated kicking or running.  Wearing shoes that are too tight or too short can also cause ingrown toenails.

Treatment for an ingrown toenail varies between patients and the severity of the condition.  Milder cases that don’t involve infection or other medical conditions can benefit from soaking the feet in room-temperature water and gently massaging the side of the nail.  In most cases, however, it is best to see your podiatrist for thorough and proper treatment.  After examining your toe, your podiatrist may prescribe oral antibiotics to clear the infection if one is present.  Surgical removal of either a portion of the nail or the entire nail may also be considered.  In some cases, complete removal or destruction of the nail root may be required.  Most patients who undergo nail surgery experience minimal pain afterward and can return to normal activity the following day.

Ingrown toenails can be prevented with proper nail trimming and by avoiding improper-fitting shoes.  When cutting the toenails, be sure that you are cutting in a straight line and avoid cutting them too short.  Shoes should not be too short or tight in the toe box.

Tuesday, 02 September 2025 00:00

Causes of Poor Foot Circulation

Poor circulation in the feet occurs when blood flow is reduced, preventing tissues from receiving enough oxygen and nutrients. This condition can lead to discomfort and complications, if left untreated. Causes include peripheral artery disease, diabetes, smoking, and sitting for long periods of time. Symptoms may involve numbness, tingling, cold feet, swelling, or slow healing wounds. Risk factors include age, high cholesterol, obesity, and a sedentary lifestyle. A podiatrist can evaluate circulation, identify underlying issues, and recommend treatments such as lifestyle changes, footwear guidance, or medical treatments to improve blood flow. If you are experiencing signs of poor circulation in your feet, it is suggested that you consult a podiatrist who can help you to manage this condition.

While poor circulation itself isn’t a condition; it is a symptom of another underlying health condition you may have. If you have any concerns with poor circulation in your feet contact Charles Oehrlein, DPM of Hoover Foot Care. Our practitioner will treat your foot and ankle needs.

Poor Circulation in the Feet

Peripheral artery disease (PAD) can potentially lead to poor circulation in the lower extremities. PAD is a condition that causes the blood vessels and arteries to narrow. In a linked condition called atherosclerosis, the arteries stiffen up due to a buildup of plaque in the arteries and blood vessels. These two conditions can cause a decrease in the amount of blood that flows to your extremities, therefore resulting in pain.

Symptoms

Some of the most common symptoms of poor circulation are:

  • Numbness
  • Tingling
  • Throbbing or stinging pain in limbs
  • Pain
  • Muscle Cramps

Treatment for poor circulation often depends on the underlying condition that causes it. Methods for treatment may include insulin for diabetes, special exercise programs, surgery for varicose veins, or compression socks for swollen legs.

As always, see a podiatrist as he or she will assist in finding a regimen that suits you. A podiatrist can also prescribe you any needed medication. 

If you have any questions, please feel free to contact our office located in Hoover, Oneonta, and Munford, AL . We offer the newest diagnostic and treatment technologies for all your foot care needs.

Read more about Causes Symptoms and Treatment for Poor Circulation in the Feet
Page 1 of 22

Connect With Us

scroll to top